孩子皮肤白斑,极大的破坏了孩子的外貌,容易导致同龄人的歧视、排斥。长久以往,就会导致孩子产生严重的心理疾病,如自卑、敏感、自闭等,从而使得孩子无法融入到正常的集体和社会生活中。对孩子以后的生活、工作及婚姻都将是绊脚石和拦路虎,无时无刻不在阻碍着孩子对幸福、快乐、成功的追求。因此,正确认识和科学应对儿童白癜风,刻不容缓。
儿童白斑易混淆、易忽视,准确诊断是关键
Children's white spot accurate diagnosis is the key
儿童白斑有可能是以下疾病

单纯糠疹:
表皮鳞屑、浅色斑
好发于颜面
间或累及躯干四肢

贫血痣:
先天局限性色素减退斑
出生后或不久发生
一般单侧分布或局限某部位
很少扩大,形状不变

花斑癣:
圆形点状斑疹
后逐渐增增大,相互融合
会有新斑疹出现

白癜风:
常见多发的色素性皮肤病
皮肤白斑为主要特征
90%儿童白斑确诊为白癜风
专家提醒:孩子皮肤白嫩难察觉,仅靠肉眼或简单仪器检查易造成漏诊误诊。诊断要明,治疗才灵!准确诊断是治好儿童白癜风的关键。
美国技术 华南特色先进
准确评估黑素脱失等级
科学预估
康复时间
精准评估
祛白疗效
检查微痛无创
15分钟出结果

白癜风危害大,别让孩子承受身体+心理双重伤害
Don't let children inherit the body plus psychological double damage
直接影响孩子容貌
影响孩子心理健康

儿童祛白≠成人,把握3点安全快速祛白
Grasp the 3 point safety quickly remove white no recurrence
在中研这些孩子康复了,看看他们怎么说
The children recovered in research and see what they say
明明(化名),面部患了白癜风一年,在当地医院治疗过,效果不佳,后经广东亲戚介绍来到中研皮肤病专科门诊部接受治疗。经过三个月治疗后,面部白斑得到有效治疗。...[康复详细]
儿子在6岁那年,我发现他腿部有一些散落的小白点,也没太在意,后来白斑的面积越来越大,有的都跟硬币大小差不多了,我才意识到问题的严重性,经当地医院确诊为白癜风,在医院治疗一段时间后...[康复详细]
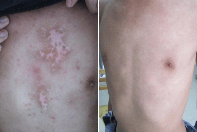
小东(化名),患了背部白癜风一年多,之前在其他医院皮肤科治疗过,但是效果不佳。后经亲戚介绍来到中研皮肤病专科门诊部接受治疗。经过3个疗程的治疗...[康复详细]
小程是1年前发现自己胸前出现白色白点,不明病因,也没有及时诊断,后来白点扩散明显才去医院检查确诊是白癜风。家长很是着急,带去医院治疗...[康复详细]

面部白癜风

腿部白癜风

背部白癜风

胸部白癜风